| |
| |
Abdullah
Imaging Centre, Quetta, Pakistan is a leading general Hospital
with state-of-the-art diagnostic imaging facility in the region.
Based on their trust and long term relationship with Sunshine,
they chose 0.35 Tesla MRI from Neusoft for
their Hospital. This is the first and the most powerful (0.35
T) Permanent Magnet MRI system installed in the Baluchistan
province. |
|
|
| |
| |
MRI
Shielding preparation before the Magnet is shifted |
| |
|
| |
0.35
T Magnet during transportation inside the Hospital |
| |
|
| |
A
Memorable foto with Neusoft Engineers and Faisal Mirza |
| |
|
| |
Magnet
Placed inside the Shielding Room |
| |
|
| |
Magnet
(with patient) after shielding completed |
| |
|
| |
Neusoft
Engineers in a good mood at Serena Hotel, Quetta |
| |
|
| |
With
Engineers from Neusoft, Sunshine, Mr. Asmat and Dr. Nasir |
| |
|
| |
Dr.
Manzoor, Haji Rahmat Kakar and Neusoft Engineers |
| |
|
| |
Faisal
Mirza with Neusoft Engineers at Quetta International Airport,
Pakistan. |
| |
|
| |
Neusoft
Engineers inside Scan Room after the Successful installation
of the 0.35 T SuperOPEN MRI from Neusoft |
| |
|
| |
A
Patient inside the magnet |
| |
|
| |
User
Interface on Console |
| |
|
| |
Sample
T2 Saggittal Image Of Cervical Spine. Notice the large Cervical
area covered by a single Coil. This is an advantage of Neusoft
MRI compared to competition. |
| |
|
| |
Sample
T1 Saggittal Image of Cervical Spine. Notice the large Cervical
area covered by a single Coil. This is an advantage of Neusoft
MRI compared to competition. |
| |
|
| |
Sample
T1 Axial Image of Brain |
| |
|
| |
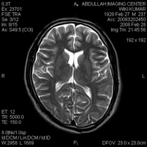
Sample
T2 Axial Image of Brain |
| |
|
| |
Sample
T1 Saggittal Image of Lumbar Spine. Notice the large Lumbar
area covered by a single Coil. This is an advantage of Neusoft
MRI compared to competition. |
| |
|
| |
Sample
T2 Saggittal Image of Lumbar Spine, Notice the large Lumbar
area covered by a single Coil. This is an advantage of Neusoft
MRI compared to competition. |
| |
|
| |
Sample
T1 Axial Image of Lumbar Spine |
| |
|
| |
Sample
T2 Axial Image of Lumbar Spine |
| |
|
| For
More details, contact
us |
| |
|
| |
| 0.35
Permanent Magnet MRI from Neusoft at Abdullah Medical Centre, Quetta,
Pakistan. |